Women’s Health : પીરિયડ્સ દરમિયાન પેપ સ્મીયર ટેસ્ટ કેમ ન કરાવવો જોઈએ? ડૉક્ટર પાસેથી કારણો જાણો
પીરિયડ્સમાં પેપ સ્મીયર ટેસ્ટ કરાવવો કેટલો યોગ્ય છે. તેમજ આ ટેસ્ટ કરાવતી વખતે કઈ વાતનું ધ્યાન રાખવું જોઈએ. આ વિશે આજે આપણે ગાયનેકોલોજિસ્ટ ટીપ્સમાં વિસ્તારથી વાત કરીશું.

મહિલાઓએ પોતાની શારીરિક દેખરેખની સાથે-સાથે વજાઈનાની પણ સાફ-સફાઈનું ધ્યાન રાખવું જોઈએ, કેટલીક વખત પ્રાઈવેટ પાર્ટમાં ખંજવાળ તેમજ હ્યુમન પૈપલોમાવાયરલ હોવાનો પણ ખતરો જોવા મળે છે. આ સિવાય મહિલાઓને સર્વાઈકલ કેન્સર થવાની પણ શક્યતા રહે છે. આ પ્રકારની તમામ બીમારીઓને સમયસર જાણ રહે તે માટે પેપ સ્મીયર ટેસ્ટ કરવાની ડોક્ટર સલાહ આપે છે.

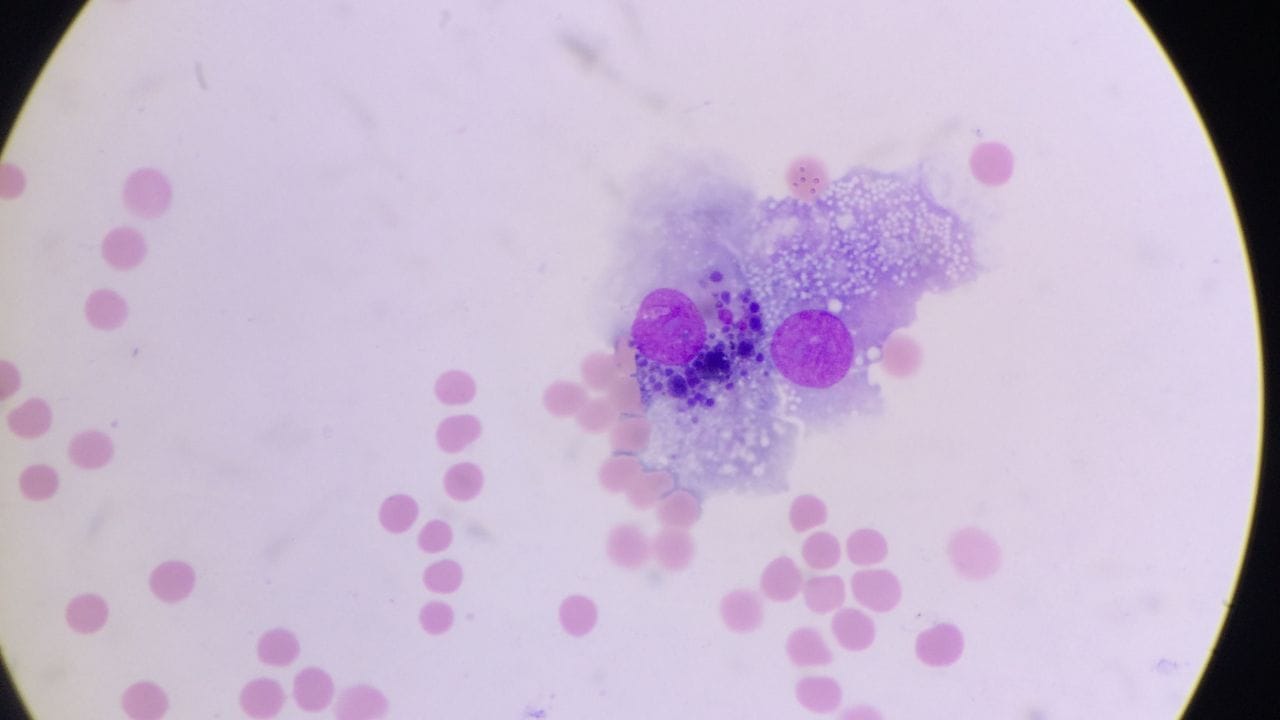
પેપ સેમીયર ટેસ્ટ સર્વાઈકલમાં થતી કેટલીક અસામાન્ય સમસ્યાની તપાસ કરે છે. આ ટેસ્ટની મદદથી સર્વાઈકલ કેન્સર જેવી બીમારીઓને પણ રોકવામાં મદદ મળે છે પરંતુ પેપ સ્મીયરને લઈ હંમેશા મહિલાઓને એ વાત સમજાતી નથી કે,શું તેમણે આ પેપ સ્મીયર ટેસ્ટ કરાવવો જોઈએ.

પેપ સ્મીયર ટેસ્ટ કરાવતી વખતે કઈ વાતનું ધ્યાન રાખવું જોઈએ. તેમજ કેટલાક કેસમાં પીરિયડ્સમાં પેપ સ્મીયર ટેસ્ટ કરાવવો કેટલો યોગ્ય છે. તેના વિશે પણ આજે આપણે વિસ્તારથી વાત કરીએ.

જ્યારે સર્વાઇકલ સેલ્સના સેમ્પલ ટેસ્ટ માટે લેવામાં આવે છે, ત્યારે પીરિયડ્સ બ્લડ અને ટિશ્યુઓને કારણે તે અસ્પષ્ટ હોય છે. આના પરિણામે પરિણામ ઓછું સચોટ હોય છે. કેટલીકવાર, પરિણામ અચોક્કસ હોઈ શકે છે, તેથી તમારે પીરિયડ્સ પછી ફરીથી ટેસ્ટ કરાવવાની જરૂર પડે છે.

તમારા પીરિયડ્સ દરમિયાન ટેસ્ટ કરવાથી સર્વાઇકલ ટિશ્યુઓનું માઇક્રોસ્કોપ હેઠળ વિશ્લેષણ કરવું મુશ્કેલ બને છે.

પેપ સ્મીયર ટેસ્ટ કરાવતા પહેલા કઈ વાતનું ધ્યાન રાખવું જોઈએ. પેપ સ્મીયર કરાવવાનો યોગ્ય સમયે પીરિયડ્સ સાઈકલના 10 થી 20 દિવસ વચ્ચે હોય છે. ટેસ્ટ કરાવતા પહેલા 48 કલાક સુધી પિરિયડ્સ દરમિયાન ટેમ્પોન,વજાઈનલ ક્રીમ કે કોઈ પણ પ્રકારના પદાર્થનો ઉપયોગ કરવો જોઈએ નહી.જેનાથી સર્વાઈકલની આસપાસનો વિસ્તાર પ્રભાવિત થાય છે.

પેપ સ્મીયર ટેસ્ટ કરાવતા પહેલા કઈ વાતનું ધ્યાન રાખવું જોઈએ. પેપ સ્મીયર કરાવવાનો યોગ્ય સમયે પીરિયડ્સ સાઈકલના 10 થી 20 દિવસ વચ્ચે હોય છે. ટેસ્ટ કરાવતા પહેલા 48 કલાક સુધી પિરિયડ્સ દરમિયાન ટેમ્પોન,વજાઈનલ ક્રીમ કે કોઈ પણ પ્રકારના પદાર્થનો ઉપયોગ કરવો જોઈએ નહી.જેનાથી સર્વાઈકલની આસપાસનો વિસ્તાર પ્રભાવિત થાય છે.

નોંધ : અહીં આપવામાં આવેલી માહિતી ફક્ત આપની જાણકારી માટે છે. કોઈ પણ ઈલાજ કરતાં પહેલા કે,અમલમાં લેતા પહેલા નિષ્ણાતોની સલાહ લેવી જરુરી છે. ( all photo:canva)
સારી આરોગ્ય સંભાળ તમને સ્વસ્થ રાખવામાં મદદ કરે છે. સારું શારીરિક અને માનસિક સ્વાસ્થ્ય જાળવવા માટે, સ્વાસ્થ્યનું ધ્યાન રાખવું ખૂબ જ જરૂરી છે. મહિલાના સ્વાસ્થને લગતા વધુ સમાચાર વાંચવા માટે અહી ક્લિક કરો
